General Dentistry
Barrington, IL
Same-Day Emergency Appointments
Bill Directly to Insurance
Family Dentistry for All Ages
Hours:
Comprehensive General Dentistry for Your Family
At Barrington Smiles, a locally owned and family-operated practice, we provide exceptional general dentistry services tailored to meet the unique needs of every member of your clan. With more than 35 years of experience, we've been dedicated to delivering personalized dental care since 2011.
We understand that maintaining optimal oral health is crucial for overall well-being, which is why we offer a wide range of services to address all your dental concerns. From routine checkups to advanced treatments, our skilled professionals are committed to guaranteeing your smile remains healthy and beautiful.
We take pride in our patient-centric approach, offering flexible scheduling options - including same-day appointments for regular and emergency dental needs. Our commitment to your convenience extends to our billing process, where we handle insurance claims directly, saving you time and hassle. We understand the importance of community and offer special discounts for our senior patients. We also provide membership programs and various discounts to make quality dental care accessible to everyone.
Whether you're due for a routine cleaning or require more complex dental work, contact us to experience the difference of truly personalized dental care.
Text
Msgs may be autodialed. Consent to texts not required to purchase our svcs. Msg. and data rates may apply.
Why Choose Us
Same-day emergency appointments
Bill directly to insurance
Family dentistry for all ages
Most procedures handled in-house, including root canals, implants, and oral surgery

Various discounts
35+ years of experience
Membership program
Being treated by the same trusted providers each time
Botox, TMJ, and Migraines
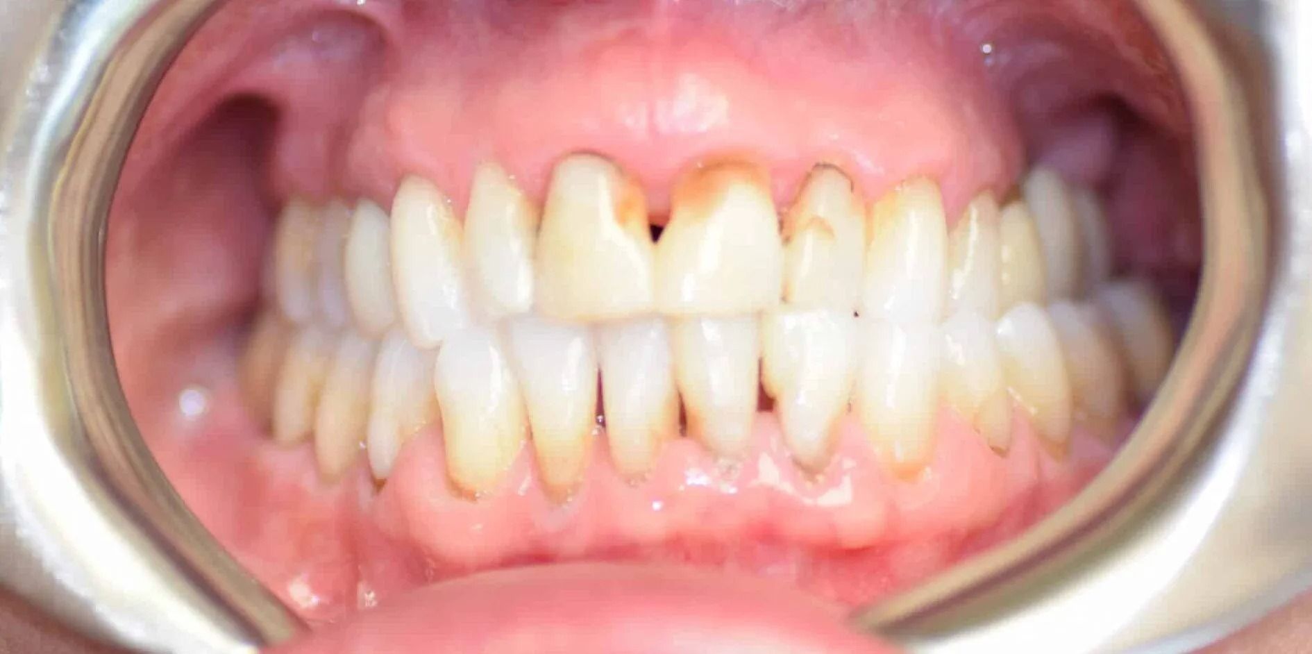
Periodontal and Gum Care
Healthy gums are the foundation of a healthy mouth. Our periodontal and gum care services are designed to prevent, diagnose, and treat gum diseases at all stages. We use advanced techniques and technologies to make sure your gums remain in optimal condition, protecting your teeth and overall oral health for years to come.
Small Title 3
Lorem ipsum lorem ipsum lorem ipsum lorem ipsum lorem ipsum lorem ipsum lorem ipsum lorem ipsum lorem ipsum lorem ipsum lorem ipsum lorem ipsum lorem ipsum
Small Title 4
Lorem ipsum lorem ipsum lorem ipsum lorem ipsum lorem ipsum lorem ipsum lorem ipsum lorem ipsum lorem ipsum lorem ipsum lorem ipsum lorem ipsum lorem ipsum
Small Title 5
Lorem ipsum lorem ipsum lorem ipsum lorem ipsum lorem ipsum lorem ipsum lorem ipsum lorem ipsum lorem ipsum lorem ipsum lorem ipsum lorem ipsum lorem ipsum
Small Title 6
Lorem ipsum lorem ipsum lorem ipsum lorem ipsum lorem ipsum lorem ipsum lorem ipsum lorem ipsum lorem ipsum lorem ipsum lorem ipsum lorem ipsum lorem ipsum
Small Title 7
Lorem ipsum lorem ipsum lorem ipsum lorem ipsum lorem ipsum lorem ipsum lorem ipsum lorem ipsum lorem ipsum lorem ipsum lorem ipsum lorem ipsum lorem ipsum
Small Title 8
Lorem ipsum lorem ipsum lorem ipsum lorem ipsum lorem ipsum lorem ipsum lorem ipsum lorem ipsum lorem ipsum lorem ipsum lorem ipsum lorem ipsum lorem ipsum
Small Title 9
Lorem ipsum lorem ipsum lorem ipsum lorem ipsum lorem ipsum lorem ipsum lorem ipsum lorem ipsum lorem ipsum lorem ipsum lorem ipsum lorem ipsum lorem ipsum
Small Title 10
Lorem ipsum lorem ipsum lorem ipsum lorem ipsum lorem ipsum lorem ipsum lorem ipsum lorem ipsum lorem ipsum lorem ipsum lorem ipsum lorem ipsum lorem ipsum
Small Title 11
Lorem ipsum lorem ipsum lorem ipsum lorem ipsum lorem ipsum lorem ipsum lorem ipsum lorem ipsum lorem ipsum lorem ipsum lorem ipsum lorem ipsum lorem ipsum
Small Title 12
Lorem ipsum lorem ipsum lorem ipsum lorem ipsum lorem ipsum lorem ipsum lorem ipsum lorem ipsum lorem ipsum lorem ipsum lorem ipsum lorem ipsum lorem ipsum
Small Title 13
Lorem ipsum lorem ipsum lorem ipsum lorem ipsum lorem ipsum lorem ipsum lorem ipsum lorem ipsum lorem ipsum lorem ipsum lorem ipsum lorem ipsum lorem ipsum
Small Title 14
Lorem ipsum lorem ipsum lorem ipsum lorem ipsum lorem ipsum lorem ipsum lorem ipsum lorem ipsum lorem ipsum lorem ipsum lorem ipsum lorem ipsum lorem ipsum
Small Title 15
Lorem ipsum lorem ipsum lorem ipsum lorem ipsum lorem ipsum lorem ipsum lorem ipsum lorem ipsum lorem ipsum lorem ipsum lorem ipsum lorem ipsum lorem ipsum

At Barrington Smiles, we’re proud to care for our senior patients. We accept many Medicare Advantage plans and offer special savings on dental services to help support your oral health at every stage of life.
Call to Claim Your Savings
Not valid with any other offers or promotions. Restrictions apply.
Must mention this coupon at the time of scheduling.

At Barrington Smiles, we’re proud to care for our senior patients. We accept many Medicare Advantage plans and offer special savings on dental services to help support your oral health at every stage of life.
Call to Claim Your Savings
Not valid with any other offers or promotions. Restrictions apply.
Must mention this coupon at the time of scheduling.

Join Our Diamond Rewards Membership
Become a member of Barrington Smiles and unlock special discounts on regular checkups and treatments. Keep your smile radiant and healthy year-round.
Contact Us to Sign Up
Not valid with any other offers or promotions. Restrictions apply.
Must mention this coupon at the time of scheduling.
Here's what our satisfied patients are saying...
At Barrington Smiles, we take pride in providing exceptional dental care to our patients. We would be grateful if you could share your thoughts about our practice with others. Your feedback allows us to do a better job and helps others make informed decisions. Please take a moment to leave a review of Barrington Smiles and let others know what you think. Thank you.













